Que exame detecta água no pulmão? Sintomas e diagnóstico

Como saber se há líquido nos pulmões?
Se você já sentiu falta de ar repentina, cansaço extremo ou até um chiado estranho ao respirar, pode ter se perguntado: "Será que estou com água no pulmão?". O acúmulo de líquido nos pulmões, conhecido como edema pulmonar, é uma condição séria que precisa ser diagnosticada rapidamente. Mas afinal, qual exame pode detectar essa condição?
Vamos direto ao ponto e entender quais exames são usados para identificar a presença de líquido nos pulmões e quando você deve se preocupar.
1. Os exames mais utilizados para detectar água no pulmão
Se um médico suspeita de edema pulmonar ou derrame pleural (líquido ao redor dos pulmões), ele pode solicitar alguns exames específicos. Os mais comuns são:
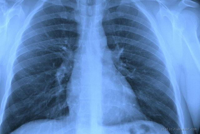
Raio-X do tórax – O primeiro exame a ser feito
Como funciona?
O raio-X de tórax é geralmente o primeiro exame solicitado. Ele permite ver se há um aumento de fluido nos pulmões ou sinais de inchaço.
Quando é indicado?
Pacientes com falta de ar súbita.
Casos de insuficiência cardíaca (causa comum de edema pulmonar).
Suspeita de infecção pulmonar grave.
O que o exame mostra?
Se houver líquido nos pulmões, o raio-X pode mostrar áreas esbranquiçadas ou opacas, indicando a presença de fluido.
Tomografia computadorizada – Para uma análise mais detalhada
Como funciona?
A tomografia computadorizada (TC) é um exame mais avançado que fornece imagens detalhadas do pulmão em diferentes ângulos.
Quando é necessária?
Se o raio-X não for conclusivo.
Se houver suspeita de outras doenças pulmonares associadas.
Para diferenciar entre edema pulmonar e derrame pleural.
O que o exame mostra?
Além do líquido acumulado, a tomografia pode indicar a causa do problema, como uma infecção, embolia pulmonar ou câncer.
Ultrassonografia pulmonar – Diagnóstico rápido à beira do leito
Como funciona?
A ultrassonografia pulmonar usa ondas sonoras para criar imagens em tempo real dos pulmões.
Quando é usada?
Em emergências, quando o raio-X não está disponível.
Para avaliar pacientes que não podem ser movidos facilmente.
Para guiar a retirada de líquido (toracocentese).
O que o exame mostra?
Ele pode detectar derrame pleural e mostrar se o fluido está se acumulando dentro dos pulmões.
Gasometria arterial – Para avaliar oxigenação no sangue
Como funciona?
A gasometria arterial mede os níveis de oxigênio e dióxido de carbono no sangue para verificar se os pulmões estão funcionando corretamente.
Quando é solicitada?
Quando o paciente apresenta falta de ar intensa.
Para avaliar se o corpo está recebendo oxigênio suficiente.
Em casos de insuficiência respiratória causada por edema pulmonar.
O que o exame mostra?
Se os níveis de oxigênio estiverem baixos, pode ser um sinal de que há líquido impedindo a troca gasosa nos pulmões.
2. Quando você deve se preocupar?
Nem toda falta de ar significa que há água no pulmão, mas alguns sintomas podem indicar a necessidade de procurar um médico imediatamente:
Falta de ar repentina e intensa
Tosse com espuma ou secreção rosada
Inchaço nas pernas e tornozelos (pode indicar insuficiência cardíaca)
Respiração acelerada mesmo em repouso
Se sentir qualquer um desses sintomas, procure atendimento médico imediatamente. O edema pulmonar pode evoluir rapidamente e requer intervenção urgente.
3. O que pode causar água no pulmão?
Insuficiência cardíaca – O coração não bombeia sangue corretamente, levando ao acúmulo de líquido nos pulmões.
🦠 Infecções pulmonares graves – Pneumonia pode causar inflamação e acúmulo de fluido.
Insuficiência renal – O corpo não elimina líquidos corretamente.
Altitude extrema – Em locais muito altos, pode ocorrer edema pulmonar por falta de oxigenação adequada.
Reações a certos medicamentos – Alguns remédios podem levar à retenção de líquidos no pulmão.
4. Conclusão: Qual exame você deve fazer?
Se houver suspeita de água no pulmão, o exame mais rápido e comum é o raio-X do tórax. Porém, em casos mais complexos, a tomografia, ultrassonografia e gasometria arterial podem ser necessárias para um diagnóstico mais preciso.
Se você ou alguém próximo apresentar sintomas como falta de ar intensa, tosse com espuma ou dificuldade para respirar, não ignore! Procure um médico imediatamente para fazer os exames adequados.
Já passou por uma situação parecida? Compartilhe sua experiência nos comentários!
Quais são os aspectos físicos mais evidentes de um dependente?
Tremores frequentes. Fala lenta ou alterada. Sobrancelhas ou outras partes do rosto queimadas. Pontas dos dedos amareladas.24 de out. de 2018
Qual é a droga que mais causa impacto negativo nos núcleos familiares?
O álcool é um dos principais agravantes do desajuste que ocorre no contexto intrafamiliar, prejudicando o desenvolvimento psicossocial que pode atingir as crianças e adolescentes que convivem com essa doença.
Como o uso de drogas afeta o relacionamento com o outro?
O uso de drogas afeta, diretamente, a cognição, capacidade de julgamento, humor e as relações interpessoais, ou seja, compromete a inserção da pessoa em sua comunidade e sua relação com esta.17 de fev. de 2006
Como é a vida de um viciado?
O dependente químico possui um estilo de vida centrado em si mesmo, sem pensar nas consequências de seus atos. Ao centrar suas atitudes apenas na droga, o viciado sente uma espécie de bem-estar e não consegue analisar as consequências de seus atos.5 de mar. de 2021
O que é bom para abstinência de droga?
O exercício físico regular ajuda na liberação das substâncias responsáveis pela sensação de prazer e de bem-estar geral. As mais importantes são a serotonina e a endorfina, dois neurotransmissores que são produzidos durante a prática de exercícios.4 de jul. de 2019
Como acalmar uma pessoa drogada?
Tente manter a calma e fale com a pessoa com uma voz calma, clara e lenta. Tente evitar linguagem emocional ou hostil, que pode tornar a pessoa mais agressiva. Diga o nome da pessoa e diga que você está lá para ajudar. Por exemplo, “Eu posso ver como você está chateado e irritado agora,[nome da pessoa].4 de fev. de 2022
Quanto tempo a cocaína fica no cabelo?
Quanto tempo a droga fica no organismo para exame toxicológico? A escala de detecção depende de qual exame toxicológico será utilizado para análise. Veja: Cocaína: na urina é possível identificar a substância de 3 a 4 dias, no sangue de 1 a 2 dias e no cabelo de 90 a 180 dias, dependendo do comprimento.23 de ago. de 2021
Quais são os pontos positivos da droga?
Os benefícios do consumo são: relaxamento, sentimento de prazer, aceitação social.
Porque as pessoas usam drogas mesmo sabendo que faz mal?
Pesquisas recentes apontam que os principais motivos que levam um indivíduo a utilizar drogas são: curiosidade, influência de amigos (mais comum), vontade, desejo de fuga (principalmente de problemas familiares), coragem (para tomar uma atitude que sem o uso de tais substâncias não tomaria), dificuldade em enfrentar e/
